|
OUR
Professional Teeth Whitening SERVICES
|
|
Professional Teeth Whitening Services
Brandon & Tampa, FL
Get a Brighter Smile With Professional Teeth Whitening with
Dr. Alejandra Riera De Jesús, D.M.D.
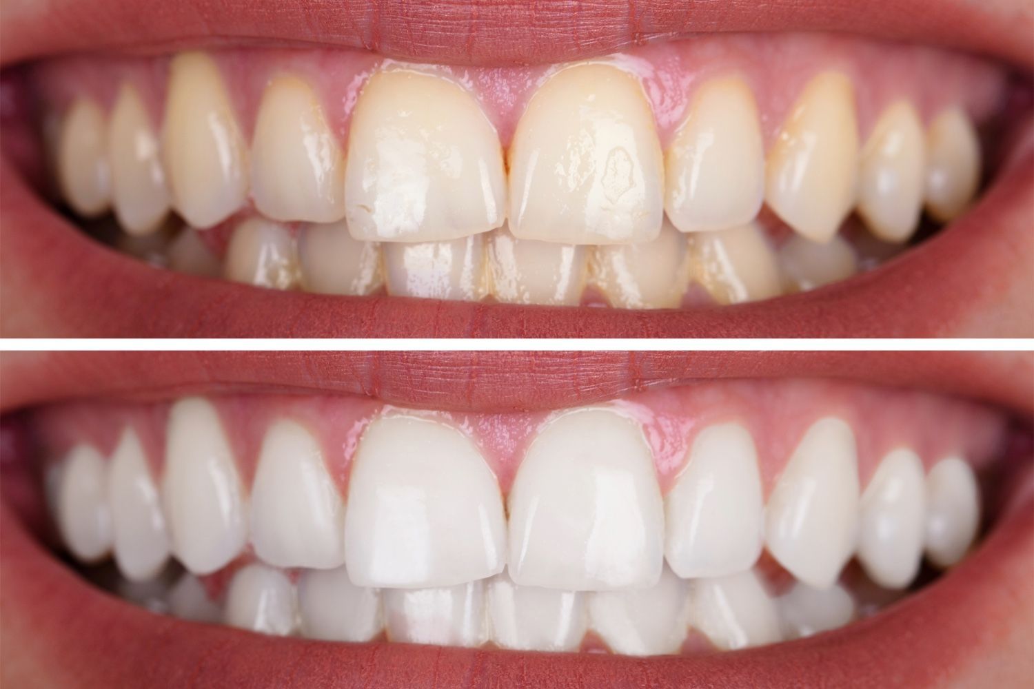
At Endothetics in Brandon, FL, Dr. Alejandra Riera De Jesús, D.M.D. offers safe, effective professional teeth bleaching (whitening) to help patients from Tampa, Riverview, Valrico, and surrounding communities achieve a radiant, confident smile. Our whitening treatments remove deep stains caused by food, drinks, aging, and lifestyle habits—delivering results you simply can’t get with over-the-counter products.


What Is a Professional Teeth Whitening?
Professional teeth whitening uses medical-grade bleaching agents to lighten the shade of your teeth safely and effectively. Unlike store-bought strips or pastes, our whitening treatments are customized to your smile and performed under the supervision of a dental professional, ensuring dramatic and even results.
Benefits of Professional Teeth Whitening
- Noticeably brighter results in a single visit
- Safe, controlled, and gentle on enamel
- Customized treatment for your exact shade goals
- Removes deep-set stains and discoloration
- Boosts confidence and enhances your overall smile

How the Teeth Whitening Process Works

1. Consultation & Shade Assessment
Dr. Riera De Jesús evaluates your teeth, identifies stains, and determines your ideal whitening goal.

2. Protection of Gums & Soft Tissue
A protective barrier is placed to keep your gums safe during treatment.

3. Application of Whitening Gel
A professional-strength bleaching gel is applied to the teeth in cycles for optimal whitening.

4. Light Activation (If Needed)
Some treatments use a specialized dental light to accelerate results.

5. Final Shade Review
You’ll instantly see a brighter, more luminous smile—often several shades lighter.
How Long Do Results Last?
Professional whitening results can last 6 to 12 months or longer with proper care, such as avoiding staining foods, maintaining daily brushing and flossing, and keeping up with your regular dental cleanings every 6 months at Endothetics.


Why Choose Endothetics for Teeth Whitening?
Choosing Endothetics in Brandon, FL means receiving exceptional, personalized care from a skilled dental professional. Dr. Alejandra Riera De Jesús, D.M.D. uses advanced whitening techniques to deliver safe, consistent, and impressive results for patients across Brandon, Tampa, Riverview, Valrico, and surrounding areas. Our clinic prioritizes comfort, modern technology, and natural-looking outcomes—helping you achieve a brighter smile with confidence and ease.
Frequently Asked Questions
Is teeth whitening safe?
Yes. Professional whitening is one of the safest cosmetic dental procedures when performed by a dentist.
Will my teeth become sensitive?
Some patients may experience mild temporary sensitivity, which typically resolves within 24–48 hours.
Can whitening remove all types of stains?
Most surface and deep stains respond very well. Internal discoloration may require veneers or bonding.
Book your Professional Teeth Whitening
Consultation
at Endothetics
Ready for a whiter, more confident smile?
Endothetics in
Brandon, FL, proudly serves
Tampa, Riverview, and nearby communities.
Schedule your teeth whitening consultation with Dr. Alejandra Riera De Jesús and reveal a brighter, refreshed smile.


